Spletna revija za znanstvenike, strokovnjake
in nevroznanstvene navdušence
Naslovnica Članki Intervjuji Mnenja Zdravje Korenine eSinapsa Številke
Ocena integritete dopaminergičnega sistema v diagnostiki parkinsonizmov
članki
eSinapsa, 2011-1
Zvezdan Pirtošek
Eksoskeleti – inteligentne bionske naprave
Marko Munih
O aktualnih dilemah draženja globokih možganskih struktur pri obsesivno - kompulzivni motnji
Nadja Jarc
Sledite svojo srečo ... z iPhone
Urban Kordeš
eSinapsa, 2011-2
Renata Salecl
Gašper Tkačik
Astrociti – spregledane zvezde nevrobiologije
Marko Kreft, Robert Zorec
Sašo Dolenc
Meditacija - malo truda, veliko koristi
Luka Dimic
eSinapsa, 2011-3
Mara Bresjanac
Martina Starc
Rok Berlot
Varnost uporabe generičnih protiepileptičnih zdravil
Mojca Kržan, Matevž Kržan
Možgani, računalniki - nekaj vmes
Miha Pelko
eSinapsa, 2012-4
Ali so moški in ženski možgani različni?
Gregor Majdič
O kognitivnih motnjah pri bolnikih s Parkinsonovo boleznijo
Dejan Georgiev
Akutno možgansko kap lahko uspešno zdravimo
Nina Vujasinovič, Bojana Žvan
Vloga nevropsihološke diagnostike pri odkrivanju zgodnjih znakov alzheimerjeve bolezni
Simon Brezovar
eSinapsa, 2013-5
Srečanje dveh velikanov: možganov in imunskega sistema
Matej Markota
Novo odkritje na področju sporadičnih prionskih bolezni
Jana Jerše, Nadja Jarc
Učinek placeba brez lažnih zdravil in zavajanja
Mara Bresjanac
Subarahnoidna krvavitev zaradi tromboze venskih sinusov
Mateja Repar, Anita Resman Gašperčič
eSinapsa, 2013-6
Odstranjevanje možganskih tumorjev pri budnem bolniku
Andrej Vranič, Jasmina Markovič, Blaž Koritnik
Zmedena bolnica, ki nič ne vidi ali PRES
Manja Hribar, Vid Zgonc
Manja Hribar
Sistemska skleroza in ishemična možganska kap - vzročna povezanost ali le koincidenca?
Mateja Repar, Janja Pretnar Oblak
Netravmatska lokalizirana konveksitetna subarahnoidna krvavitev
Mateja Repar, Fajko F. Bajrović
Klemen Grabljevec
Z omejevanjem spodbujajoča terapija pri bolnikih po nezgodni možganski poškodbi
Dejana Zajc, Klemen Grabljevec
eSinapsa, 2014-7
Možgani v mreži navezanosti, ki nas zaznamuje
Barbara Horvat
Vpliv senzoričnega dotoka na uglasitev možganskih povezav
Peter Gradišnik
Človeški konektom ali kakšne so zveze v naših možganih
Blaž Koritnik
Niko Lah
Torkove delavnice za osnovnošolce
Mateja Drolec Novak, Vid V. Vodušek
Da ne pozabim! Tehnike za pomladitev spomina
Klara Tostovršnik, Hana Hawlina
Površina socialne nevroznanosti
Manuel Kuran
Clarity - bistri možgani Karla Deisserotha
Gregor Belušič
Barbara Gnidovec Stražišar
Bojana Žvan
Nevroplastičnost po možganski kapi
Marjan Zaletel
Klinično psihološka obravnava pacientov po možganski kapi in podpora pri vračanju na delovno mesto
Barbara Starovasnik Žagavec
Možgani: organ, s katerim ljubimo
Andraž Matkovič
Marija Šoštarič Podlesnik
Gibalno-kognitivna vadba: praktična delavnica
Mitja Gerževič, Marina Dobnik
Anton Grad
Nevrologija, imunologija, psihiatrija …
Bojan Rojc
Andraž Stožer, Janez Bregant
Dominika Novak Pihler
Možganska kap – »kako ostati v omrežju?«
Nina Ozimic
Klara Tostovršnik
eSinapsa, 2014-8
Znotrajžilno zdravljenje možganskih anevrizem
Tamara Gorjanc, Dimitrij Lovrič
Obravnava hladnih možganskih anevrizem
Bojana Žvan, Janja Pretnar Oblak
Ali deklice z Rettovim sindromom govorijo z očmi?
Anka Slana, Urška Slana
Progresivna multifokalna encefalopatija
Urša Zabret, Katarina Šurlan Popovič
Ne ubijaj – poskusi na živalih
Martina Perše
Poizkusi na živalih - za in proti
Simon Horvat
eSinapsa, 2015-9
Kako deluje navigacijski sistem v naših možganih
Simon Brezovar
Vsakodnevno delo slepe osebe / s slepo osebo
Denis Kamnar
Uroš Marušič
Manca Tekavčič Pompe
Toni Pustovrh
Marko Hawlina
Od svetlobe do podobe ali kako vidijo svet naši možgani
Simon Brezovar
Janja Hrastovšek
Zala Kurinčič
Pogledi na mejno osebnostno motnjo
Jerica Radež, Peter Kapš
Uvid kot socialno psihološki fenomen
Vid Vodušek
Uvod v vidno-prostorske funkcije s praktičnimi primeri
Ana Bujišić, Sanja Roškar
eSinapsa, 2015-10
Difuzijsko magnetnoresonančno slikanje
Rok Berlot
Katja Pavšič
Radiološko izolirani sindrom - ali ga moramo poznati?
Matej Vouk, Katarina Šurlan Popovič
Kako izgledajo možgani, ki govorijo več jezikov?
Gašper Zupan
Nov pristop v rehabilitaciji - terapija s pomočjo psa
Mateja Drljepan
Pogled v maternico z magnetnoresonančno preiskavo
Taja Jordan, Tina Vipotnik Vesnaver
Saša Zorjan
Saša Zorjan
Nevroestetika: ko nevroznanost obišče galerijo
Anja Voljavec, Hana Hawlina, Nika Vrabič
Ali so psihogeni neepileptični napadi res psihogeni?
Saška Vipotnik, Gal Granda
Kako nam lahko glasna glasba »vzame« sluh in povzroči tinitus
Nejc Steiner, Saba Battelino
eSinapsa, 2016-11
Mara Bresjanac
Kako ultrazvok odpira pot v možgane
Kaja Kolmančič
Kako je epigenetika spremenila nevroznanost
Metka Ravnik Glavač
Ondinino prekletstvo ali sindrom prirojene centralne hipoventilacije
Katja Pavšič, Barbara Gnidovec Stražišar, Janja Pretnar Oblak, Fajko F. Bajrović
Zika virus in magnetnoresonančna diagnostika nepravilnosti osrednjega živčevja pri plodu
Rok Banko, Tina Vipotnik Vesnaver
Motnje ravnotežja otrok in odraslih
Nejc Steiner, Saba Battelino
eSinapsa, 2016-12
Vloga magnetnoresonančne spektroskopije pri obravnavi možganskih tumorjev
Gašper Zupan, Katarina Šurlan Popovič
Tiskanje tridimenzionalnih modelov v medicini
Andrej Vovk
Aleš Oblak
Kevin Klarič
Sinestezija: umetnica, ki ne želi odrasti
Tisa Frelih
Računska psihiatrija: od nevroznanosti do klinike
Nastja Tomat
Kognitivni nadzor: od vsakdanjega življenja do bolezni
Vida Ana Politakis
eSinapsa, 2017-13
Internet: nadgradnja ali nadomestek uma?
Matej Perovnik
Vloga črevesnega mikrobioma pri odzivu na stres
Vesna van Midden
Stres pušča posledice tako na človeškem kot živalskem organizmu
Jasmina Kerčmar
Prikaz normalne anatomije in bolezenskih stanj obraznega živca z magnetno resonanco
Rok Banko, Matej Vrabec
Psihedelična izkušnja in njen zdravilni potencial
Anja Cehnar, Jona Basle
Vpliv hiperglikemije na delovanje možganov
Jasna Šuput Omladič, Simona Klemenčič
Nevrofibromatoza: napredujoče obolenje centralnega in perifernega živčevja
Nejc Steiner, Saba Battelino
Fenomen žrtvenega jagnja v dobi interneta
Dolores Trol
Tesnoba staršev in strategije spoprijemanja, ko pri otroku na novo odkrijejo epilepsijo
Daša Kocjančič, Petra Lešnik Musek, Vesna Krkoč, David Gosar
eSinapsa, 2017-14
Zakaj ne zapeljem s ceste, ko kihnem?
Anka Slana Ozimič, Grega Repovš
Nobelova nagrada za odkritje molekularnih mehanizmov nadzora cirkadianih ritmov
Leja Dolenc Grošelj
Možgani pod stresom: od celic do duševnih motenj
Nastja Tomat
Na sledi prvi vzročni terapiji Huntingtonove bolezni
Danaja Metul
Razlike med spoloma pri Parkinsonovi bolezni
Kaja Kolmančič
eSinapsa, 2018-15
Susceptibilno poudarjeno magnetnoresonančno slikanje pri bolniku z ALS
Alja Vičič, Jernej Avsenik, Rok Berlot
Sara Fabjan
Reverzibilni cerebralni vazokonstrikcijski sindrom – pot do diagnoze
Maja Cimperšek, Katarina Šurlan Popovič
Liam Korošec Hudnik
Kognitivno funkcioniranje pri izgorelosti
Marina Horvat
eSinapsa, 2019-16
Maša Čater
Saša Koprivec
Infekcije osrednjega živčnega sistema s flavivirusi
Maja Potokar
Raziskava: Kako depresija vpliva na kognitivne sposobnosti?
Vida Ana Politakis
Razvoj depresije pri otrocih z vidika navezovalnega vedenja
Neža Grgurevič
Sonja Prpar Mihevc
Umetno inteligentna nevroznanost: srečanje nevronskih mrež in možganske fiziologije
Kristijan Armeni
Čebelji strup pri preventivi nevrodegenerativnih bolezni in priložnost za klinično prakso
Matjaž Deželak
eSinapsa, 2019-17
IgG4+ – skupni imenovalec diagnoz iz preteklosti
Cene Jerele, Katarina Šurlan Popovič
Nov molekulski mehanizem delovanja ketamina v astrocitih
Matjaž Stenovec
Praktični pristop k obravnavi utrujenosti in motenj spanja pri bolnikih z multiplo sklerozo
Nik Krajnc, Leja Dolenc Grošelj
Jure Pešak
eSinapsa, 2020-18
Bolezni spektra anti-MOG pri odraslih
Nik Krajnc
Samomor pod lupo nevroznanosti
Alina Holnthaner
eSinapsa, 2020-19
Ob mednarodnem dnevu znakovnih jezikov
Anka Slana Ozimič
Teorija obetov: kako sprejemamo tvegane odločitve
Nastja Tomat
Sara Fabjan
Matjaž Deželak
Nina Stanojević, Uroš Kovačič
Od človeških nevronov do možganskih organoidov – nova obzorja v nevroznanosti
Vesna M. van Midden
Splošna umetna inteligenca ali statistične jezikovne papige?
Kristijan Armeni
Zunajcelični vezikli kot prenašalci zdravilnih učinkovin preko krvno-možganske prepreke
Saša Koprivec
Matjaž Deželak
eSinapsa, 2021-20
Migrena: starodavna bolezen, sodobni pristopi k zdravljenju
Eva Koban, Lina Savšek
Zgodnji razvoj socialnega vedenja
Vesna Jug
Nastja Tomat
Mikrosplet: povezovanje preko mikrobioma
Tina Tinkara Peternelj
Stimulacija možganov kot način zdravljenja depresije
Saša Kocijančič Azzaoui
eSinapsa, 2021-21
eSinapsa, 2022-22
Sodobni vidiki motenj hranjenja
Karin Sernec
Ples in gibalni dialog z malčki
Neva Kralj
Atul Gawande
Jezikovna funkcija pri Alzheimerjevi bolezni
Gašper Tonin
Dostava terapevtikov preko krvno-možganske pregrade
Matjaž Deželak
eSinapsa, 2022-23
Akutni ishemični infarkt hrbtenjače pri zdravih otrocih – kaj lahko pove radiolog?
Katarina Šurlan Popovič, Barbara Šijaković
eSinapsa, 2023-24
Možganska omrežja pri nevrodegenerativnih boleznih
Tomaž Rus, Matej Perovnik
Morske živali kot navdih za nevroznanstvenike: morski konjiček, morski zajček in klobučnjak
Tina Bregant
Metoda Feldenkrais: gibanje in nevroplastičnost
Mateja Pate
Etično naravnana animalna nevroznanost
Maša Čater
Helena Motaln, Boris Rogelj
eSinapsa, 2023-25
Urban Košak, Damijan Knez, Anže Meden, Simon Žakelj, Jurij Trontelj, Jure Stojan, Maja Zakošek Pipan, Kinga Sałat idr.
eSinapsa, 2024-26
Naravno okolje kot vir zdravja in blagostanja
Karin Križman, Grega Repovš, Gaja Zager Kocjan, Gregor Geršak
Katja Peganc Nunčič, Damjan Osredkar
Tanja Goltnik
Ali je zgodnje vstajanje dedno?
Cene Skubic, Laura Plavc, Damjana Rozman, Leja Dolenc Grošelj
eSinapsa, 2024-27
Širša terapevtska uporaba ketamina: potenciali in izzivi
Kristian Elersič
Moč vpliva socialne opore na bolečino
Jana Verdnik
Benjamin Bušelič
Urška Černe, Anemari Horvat, Robert Zorec, Nina Vardjan
eSinapsa, 2025-28
Maša Čater, Nastja Blagovič, Urška Jerič, Agata Kokalj Malovrh, Nuša Balen, Tanja Kunej
Vpliv izobrazbe na skrb za zdravje možganov
Hana Kos, Matej Perovnik
Selena Horvat, Anja Pišlar
eSinapsa, 2025-29
Knjiga Kje so moji ključi kot primer narativne medicine
Zdenka Čebašek-Travnik, Saša Novak
Vpliv anestetikov na oksidativni stres
Katerina Tomsič, Alenka Nemec Svete
Rak, živčni in imunski sistem – kako so med seboj povezani?
Maja Čemažar, Tanja Jesenko, Urša Lampreht Tratar, Maša Omerzel
Parkinsonizmi so skupina bolezni, ki se klinično izrazijo z bornostjo gibanja (bradihipokinezo), okorelostjo mišic (rigidnostjo) in tremorjem 1. Najpogostejši vzrok parkinsonizma so nevrodegenerativne bolezni, kot je Parkinsonova bolezen (PB), lahko pa se pojavi tudi pri drugih stanjih, ki okvarijo kortiko-striato-talamo-kortikalno nevronsko zanko. Sindrom parkinsonizma lahko povzročijo zdravila, ki blokirajo dopaminske receptorje, kot so npr. antipsihotiki, ter vaskularne in druge lezije, ki okvarijo kortiko-striato-talamo-kortikalno zanko ali nigrostriatne povezave. Metode, s katerimi lahko preučujemo okvare omenjenih nevronskih omrežij, uporabljamo ne le v raziskavah parkinsonizmov, temveč tudi v rutinski obravnavi teh bolezni 2 (več v prispevku Rus in Perovnik). Klinično še posebej pomembne so preiskave dopaminergičnega sistema z nuklearno-medicinskimi metodami, ki nevrologu omogočajo natančno in zanesljivo diagnozo ter ga usmerijo pri zdravljenju parkinsonizmov.
Bazalni gangliji so skupek jeder, ki se nahajajo v globini hemisfer velikih možganov in sodelujejo v kompleksnem omrežju, ki uravnava gibanje. Patološki procesi, ki okvarijo posamezne podsisteme bazalnih ganglijev, se kažejo bodisi z bornostjo gibanja (hipokinetične motnje gibanja; parkinsonizmi) bodisi kot nenadzorovani in prekomerni gibi (hiperkinetične motnje) 3. V tem kompleksnem sistemu, ki obsega možgansko skorjo, striatum, globus pallidus, talamus in subtalamično jedro, ima še posebej pomembno vlogo kompaktni del črne substance v mezencefalonu (lat. substanca nigra pars compacta) in nigrostriatne povezave, ki črno substanco povezujejo z bazalnimi gangliji.
Pri PB, najpogostejšem nevrodegenerativnem parkinsonizmu, se patološka beljakovina α-sinuklein v obliki Lewyjevih telesc stereotipno širi iz podaljšane hrbtenjače preko mezencefalona, bazalnega prozencefalona v mezokorteks in na koncu doseže neokorteks 4. Ko patološki proces prizadene mezencefalon in okvari dopaminergične nevrone črne substance, se to klinično izrazi z znaki parkinsonizma. Dopaminergične nigrostriatne povezave namreč igrajo pomembno vlogo pri modulaciji kortiko-striato-talamo-kortikalne zanke in s tem gibanja 3.
Dopaminergični sistem v bazalnih ganglijih sestavljata presinaptični del, ki ga tvorijo dopaminergični nevroni, projicirani iz črne substance v striatum, in postsinaptični del, ki ga predstavljajo striatalni nevroni. Presinaptični in postsinaptični nevroni se razlikujejo po svoji molekularni sestavi, kar izkoriščamo pri oceni integritete tega sistema z molekularnim slikanjem (Slika 1). Pri molekularnem slikanju uporabljamo radioaktivno označene molekule (radiofarmake), ki se vežejo na tarčne molekule v celici in oddajajo bodisi pozitrone bodisi gama žarke, ki jih zaznamo s kamerami PET (pozitronska emisijska tomografija) ali SPECT (ang. single photon emission computed tomography; enofotonska emisijska računalniška tomografija).
Presinaptično dopaminergično integriteto lahko preučujemo na ravni sinteze dopamina z uporabo 18F-FDOPA PET, fluorirane oblike L-DOPA. Shranjevanje dopamina lahko ocenjujemo z uporabo radiofarmakov, ki se vežejo na vezikularne monoaminske transporterje 2 (VMAT2), odgovorne za privzem monoaminov iz citoplazme v sekrecijske vezikle v dopaminergičnih nevronih. Najpogosteje uporabljena tehnika pa je ocena ponovnega privzema dopamina v presinaptične nevrone z uporabo 123I-ioflupan SPECT (DaTSCAN™) oz. scintigrafijo dopaminskega prenašalca. 123I-ioflupan se specifično veže na dopaminske transporterje (DAT) na presinaptični membrani. Relativno dolga razpolovna doba 123I omogoča transport te spojine v oddaljene zdravstvene centre in s tem rutinsko uporabo v kliničnih okoljih (radiofarmake, označene s kratkoživimi radioizotopi, kot sta npr. 11C ali 15O, lahko zaradi hitrega razpada uporabimo le v bližini proizvodnje).
Okvaro postsinaptičnega nevrona lahko proučujemo z radiofarmaki, ki se vežejo na dopaminske receptorje (D2 receptorje). Zaradi omejene razpoložljivosti teh spojin in slabše diagnostične vrednosti jih uporabljamo le redko in predvsem v raziskovalne namene.
Okvara dopaminergičnih nevronov v črni substanci se pri PB začne pred prvimi znaki parkinsonizma. Ob postavitvi diagnoze je količina dopaminergičnih nevronov že zmanjšana za 50 odstotkov, v nadaljnjem poteku bolezni pa nevroni postopno linearno propadajo 5. Scintigrafija dopaminskega prenašalca z 123I-ioflupanom že v zgodnji PB razkrije zmanjšano kopičenje radiofarmaka, ki napreduje v kavdo-rostralni smeri (Slika 2). Sprva zaznavamo znižano kopičenje v posteriornih delih putamnov. Skladno s klinično sliko, je izpad kopičenja asimetričen, izrazitejši na strani kontralateralno od bolj prizadetih okončin (Slika 2C) 6. Sčasoma presinaptična dopaminergična okvara napreduje; kopičenje radiofarmaka je pri napredovali bolezni v putamnih odsotno, v kavdatnih jedrih pa izrazito in asimetrično znižano, vendar še zaznavno (Slika 2D) 5.
Scintigrafija dopaminskega prenašalca je patološka tudi pri atipičnih parkinsonizmih, kot sta multipla sistemska atrofija (MSA) in progresivna supranuklearna pareza (PSP), saj presinaptični nevroni propadajo tudi pri teh boleznih. Raziskave na večjem številu bolnikov so pokazale, da je razporeditev radiofarmaka pri teh boleznih drugačna: izpad ne sledi kavdorostralni smeri in je bolj simetričen 7 8. Na ravni posameznih bolnikov je tovrstna ocena razporeditve radiofarmaka premalo specifična za zanesljivo razlikovanje med različnimi nevrodegenerativnimi parkinsonizmi 7 8. Za razlikovanje med temi boleznimi lahko uporabimo radiofarmake, ki se vežejo na D2-receptorje (Slika 1); pri PB je ta vezava ohranjena, medtem ko je pri atipičnih parkinsonizmih znižana 9. Kljub temu je slikanje dopaminskih receptorjev trenutno omejeno predvsem na raziskovalno okolje. V rutinski diagnostiki za diferencialno diagnozo uporabljamo slikanje FDG-PET, ki se je izkazalo za bolj občutljivo in specifično 2 10 11 12. FDG-PET nam omogoča vpogled v regionalno možgansko presnovo, ki je tesno povezana z lokalno sinaptično aktivnostjo. Različne nevrodegenerativne bolezni prizadenejo specifične predele možganov in s tem povezana nevronska omrežja, kar se odraža v značilnih vzorcih kopičenja radiofarmaka, specifičnih za posamezne oblike nevrodegenerativnih parkinsonizmov 2 10 12.
V rutinski diagnostiki parkinsonizmov se torej uporabljata dve nuklearno-medicinski metodi: scintigrafija dopaminskih prenašalcev (DaTSCAN™), ki omogoča razlikovanje med nevrodegenerativnimi parkinsonizmi in ne-nevrodegenerativnimi boleznimi, ter FDG-PET, ki omogoča natančno razlikovanje med različnimi vrstami nevrodegenerativnih parkinsonizmov ter tako pomaga pri določanju specifične bolezni 10.
Scintigrafija dopaminskih transporterjev z 123I-ioflupanom (DaTSCAN™) je preiskava, ki je na voljo v rutinski klinični praksi in jo je odobrila Evropska agencija za zdravila (EMA). Kljub visoki ceni je nepogrešljiva pri diagnozi parkinsonizmov pri izbranih bolnikih, saj lahko pomembno vpliva na zdravljenje.
Nevrolog se za preiskavo odloči, ko ni mogoče klinično razlikovati med esencialnim tremorjem in PB. Preiskava izjemno natančno razlikuje med obema stanjema z diagnostično občutljivostjo in specifičnostjo do 95 odstotkov 13.
Druga indikacija omenjene preiskave je razlikovanje med nevrodegenerativnimi parkinsonizmi in iatrogenim ali vaskularnim parkinsonizmom. Dolgotrajna uporaba zdravil, ki blokirajo dopaminske receptorje, lahko povzroči spremembe v bazalnih ganglijih, ki se izrazijo kot parkinsonizem. Pri iatrogenem parkinsonizmu je presinaptični dopaminergični sistem v nasprotju z nevrodegenerativnimi parkinsonizmi ohranjen. Scintigrafija dopaminskega prenašalca pri tej indikaciji dosega visoko specifičnost (94-odstotno) in občutljivost (86-odstotno) 14.
Preiskava je prav tako nepogrešljiva pri razlikovanju med nevrodegenerativnimi parkinsonizmi in vaskularnim parkinsonizmom, čeprav je diagnostična natančnost nekoliko nižja, s 83-odstotno specifičnostjo in 86-odstotno občutljivostjo 6. Vaskularni parkinsonizem lahko nastane zaradi ishemičnih sprememb, ki prizadenejo omrežja, pomembna za nadzor gibanja. Te spremembe najpogosteje prizadenejo belo možganovino in okvarijo kortiko-striato-talamo-kortikalne povezave. V takih primerih je presinaptična dopaminergična integriteta ohranjena, zato je scintigrafija dopaminskega prenašalca normalna.
Če pa vaskularne spremembe, kot so lakunarne ishemične možganske kapi, prizadenejo striatum, črno substanco ali nigrostriatne povezave, je lahko izvid patološki. Kljub temu nam lahko tak izvid pomaga pri diagnozi, saj je razporeditev izpada kopičenja radiofarmaka drugačna kot pri PB. Pri vaskularnem parkinsonizmu ne pričakujemo kavdorostralne okvare striatuma, temveč izpad kopičenja radiofarmaka v omejenem predelu bazalnih ganglijev, z ohranjenim kopičenjem v posteriornem putamnu 15. Tovrsten izvid je še posebej pomemben, saj raziskave kažejo, da imajo bolniki z vaskularnim parkinsonizmom in nigrostriatno okvaro boljši odziv na dopaminergično terapijo kot tisti z normalno scintigrafijo dopaminskega prenašalca 15.
Scintigrafija dopaminskega prenašalca ni koristna samo pri nevrodegenerativnih parkinsonizmih, temveč tudi pri diagnostiki drugih, redkejših vzrokov parkinsonizmov. Podobno kot pri vaskularnem parkinsonizmu lahko ta klinični sindrom povzročijo tudi druge lezije, ki prizadenejo nevronska omrežja, vključena v nadzor gibanja.
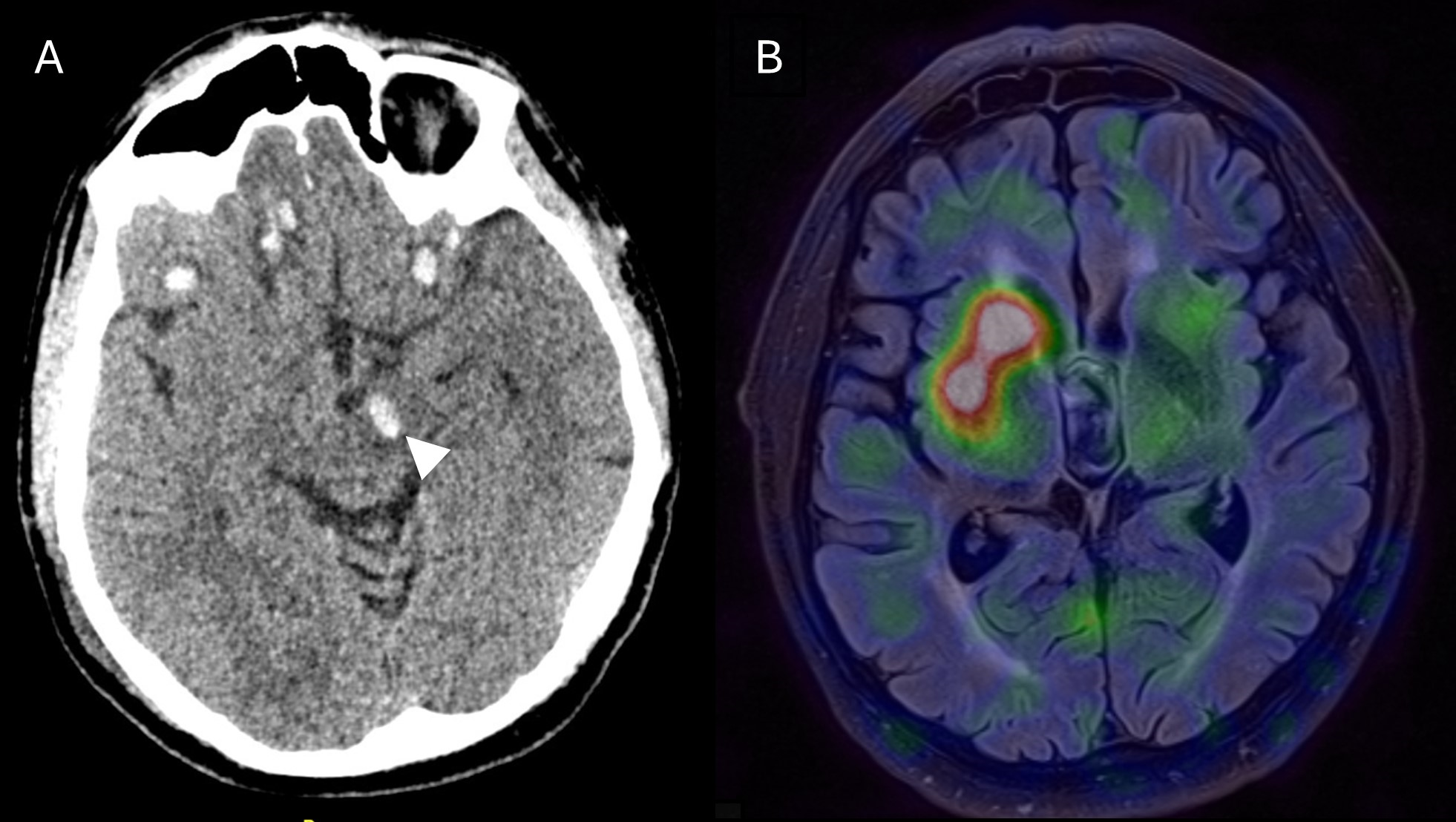
Nedavno smo obravnavali 56-letnega moškega, ki je utrpel difuzno aksonsko možgansko poškodbo s številnimi hemoragičnimi lezijami, vključno z lezijo v področju leve črne substance (Slika 3A) 16. Kljub uspešni rehabilitaciji so vztrajale številne težave, vključno z desnostranskim parkinsonizmom. Scintigrafija dopaminskega prenašalca je razkrila hudo izgubo nigrostriatnih dopaminergičnih povezav na levi strani (Slika 3B). Kopičenje radiofarmaka je bilo v levem striatumu popolnoma odsotno, v nasprotju s PB, kjer tudi v napredovali bolezni pričakujemo ostanek kopičenja v kavdatnih jedrih. Kljub odsotnosti nevrodegenerativnega vzroka je uvedba dopaminergične terapije občutno izboljšala simptome.
Preiskave integritete dopaminergičnega sistema pri parkinsonizmih z metodami nuklearne medicine so nepogrešljive tako v raziskavah teh bolezni kot tudi v rutinski diagnostiki. Poleg tega, da omogočajo natančno diagnozo znotraj jasno opredeljenih kliničnih indikacij, pomembno vplivajo tudi na izbor terapije. Zaradi visokih stroškov in zapletene logistike teh preiskav sta izjemno pomembna pravilno določanje indikacij in napotitev izbranih bolnikov, pri katerih bo izvid pomembno vplival na nadaljnjo obravnavo. Nekritično napotovanje lahko vodi v nepotrebno dolge čakalne vrste in onemogoča dostop do preiskave tistim bolnikom, ki jo resnično potrebujejo.
Postuma RB, Berg D, Stern M, et al. MDS clinical diagnostic criteria for Parkinson’s disease. Movement Disorders. 2015;30(12):1591-1601. doi:10.1002/mds.26424 ↩
Rus T, Perovnik M. Možganska omrežja pri nevrodegenerativnih boleznih. eSiNAPSA. https://www.sinapsa.org/eSinapsa/stevilke/2023-24/336/Mozganska_omrezja_pri_nevrodegenerativnih_boleznih. 2024. Accessed August 26, 2024. ↩
Wichmann T, DeLong MR. Anatomy and physiology of the basal ganglia: relevance to Parkinson’s disease and related disorders. Handb Clin Neurol. 2007;83. doi:10.1016/S0072-9752(07)83001-6 ↩
Adler CH, Beach TG, Zhang N, et al. Unified staging system for Lewy body disorders: Clinicopathologic correlations and comparison to Braak staging. J Neuropathol Exp Neurol. 2019;78(10):891-899. doi:10.1093/jnen/nlz080 ↩
Fearnley JM, Lees AJ. Ageing and Parkinson’s disease: substantia nigra regional selectivity. Brain. 1991;114 ( Pt 5)(5):2283-2301. doi:10.1093/BRAIN/114.5.2283 ↩
Bega D, Kuo PH, Chalkidou A, et al. Clinical utility of DaTscan in patients with suspected Parkinsonian syndrome: a systematic review and meta-analysis. NPJ Parkinsons Dis. 2021;7(1). doi:10.1038/S41531-021-00185-8 ↩
AA R, P P, M P. Clinical utility of DaTscanTM (123I-Ioflupane Injection) in the diagnosis of Parkinsonian Syndromes. Degener Neurol Neuromuscul Dis. 2013;3:33. doi:10.2147/DNND.S19807 ↩
Ogawa T, Fujii S, Kuya K, et al. Role of Neuroimaging on Differentiation of Parkinson’s Disease and Its Related Diseases. Yonago Acta Med. 2018;61(3):145. doi:10.33160/YAM.2018.09.001 ↩
Schreckenberger M, Hägele S, Siessmeier T, et al. The dopamine D2 receptor ligand 18F-desmethoxyfallypride: an appropriate fluorinated PET tracer for the differential diagnosis of parkinsonism. Eur J Nucl Med Mol Imaging. 2004;31(8):1128-1135. doi:10.1007/S00259-004-1465-5 ↩
Rus T, Jamšek J, Berlot R, Popovič KŠ, Grmek M, Trošt M. Nuclear medicine investigations in dementia and parkinsonism. Zdravniski Vestnik. 2020;89(3-4):203-222. doi:10.6016/ZdravVestn.2935 ↩
Perovnik M, Rus T, Schindlbeck KA, Eidelberg D. Functional brain networks in the evaluation of patients with neurodegenerative disorders. Nat Rev Neurol. 2023;19(2). doi:10.1038/S41582-022-00753-3 ↩
Berti V, Pupi A, Mosconi L. PET / CT in diagnosis of movement disorders. Ann N Y Acad Sci. 2011;1228(1):93-108. doi:10.1111/j.1749-6632.2011.06025.x ↩
Hauser RA, Grosset DG. [123I]FP-CIT (DaTscan) SPECT Brain Imaging in Patients with Suspected Parkinsonian Syndromes. Journal of Neuroimaging. 2012;22(3):225-230. doi:10.1111/j.1552-6569.2011.00583.x ↩
Brigo F, Matinella A, Erro R, Tinazzi M. [123I]FP-CIT SPECT (DaTSCAN) may be a useful tool to differentiate between Parkinson’s disease and vascular or drug-induced parkinsonisms: a meta-analysis. Eur J Neurol. 2014;21(11):1369-e90. doi:10.1111/ENE.12444 ↩
Lee MJ, Kim SL, Kim HI, et al. [(18)F] FP-CIT PET study in parkinsonian patients with leukoaraiosis. Parkinsonism Relat Disord. 2015;21(7):704-708. doi:10.1016/J.PARKRELDIS.2015.04.007 ↩
Rus T, Cuderman A, Georgiev D. Parkinsonism Associated With Traumatic Hemorrhage in Substantia Nigra: Role of Presynaptic Dopaminergic Imaging. Neurology. 2024;102(9):e209384. doi:10.1212/WNL.0000000000209384 ↩
Doc. dr. Tomaž Rus, dr. med., specialist nevrologije
Klinični oddelek za bolezni živčevja, UKC Ljubljana
in
Klinika za nuklearno medicino, UKC Ljubljana
Sprejeto: 31. 7. 2024
Objavljeno: 29. 8. 2024